美科学家发现人体新器官 或能解释癌细胞如何快速转移
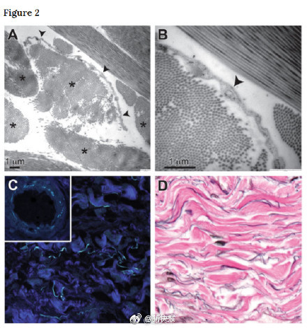
Nature旗下学术期刊《科学报告》27日发布的文章发现,人体黏膜下有一个此前未知的,极其微小、充满液体并穿透结缔组织的连贯通道。科学家们称之为新的“器官”。它被认为有缓冲功能,能以此保护其他器官,也或能解释癌细胞如何快速转移。

我们知道人体含有70%以上的水份,人体内的这些水份并非固定不动,而是通过体内介质来进行快速流通,这种体内介质就是今天研究人员发现的新器官。研究人员把这个新器官命名为“间质”,它存在于皮肤表层下方,用来连接动脉、静脉、肌肉筋膜,肠道,肺等五脏六腑及泌尿系统等等所有器官和组织,被研究人员称为“液体流动的高速公路”。
来自纽约大学的研究团队称,“间质”器官遍布全身存在于人体组织间隔内,一半以上存在于细胞内,另一半存在在心脏,血管,淋巴结和淋巴管内。它甚至可能是体内最大的器官之一。间质由强胶原蛋白和柔性弹性蛋白结缔组织蛋白组成,间质液体在整个过程中移动。由于间质是液体的载体,具备一定的弹性,所以它存在于体内的另一个功能就是充当“减震器”。

科学家发现新的人体器官,它或许是最大的人体器官!科学家称,承载这些间质液体的网络组织,是一个独立的器官。并且,可能是人体中最大的器官。

这是个了不起的发现,如果能够应用,可以解决一些患者病痛,假如能够阻断癌细胞的传播,那将使人类的大幸!
本文标题: 美科学家发现人体新器官 或能解释癌细胞如何快速转移
本文地址: http://www.xiangwenkeji.com/news/guoji/2018/03/29/522600.html
